Our solution

DeepKnee autonomous MRI reporting system

 

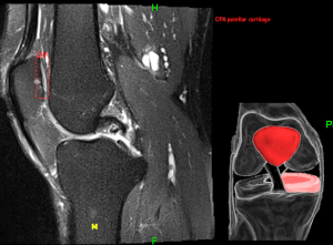
We have developed a software framework for autonomous medical image interpretation based on deep learning technology. Our focus is on the assessment  of MRI exams of the extremities without human intervention.

 

Currently our easily integrable software enables the fully automatic, prompt & robust annotation of the relevant anatomic details and detection of the most frequent knee lesions: ACL & meniscal tears, articular cartilage lesions, patellar instability measurments, Baker cysts.

Recognition of medial collateral ligament tear will be available by the beginning of 2026.

Integration

We are also working on the most frequently occurring ankle lesions: cartilage problems of the talar dome & tears of the lateral ligaments.

You don’t have to change your favorite dicom viewer  to look at the suggestions of deepKnee. Our software can be seamlessly integrated in your PACS environment without any interruption in your workflow.

Customers, cooperating partners

 

Our anatomy annotator framework is currently integrated in the systems of the following companies and institutions:

 

  • NL Medical
  • Smart Medical
  • Semmelweis Premium Ltd.
  • Wáberer’s Medical Center
  • Pécs Diagnostic Center
  • Budai Health Center
  • CMED
  • Rába Medical Center
  • Újbuda Medical Center